

日光 性皮炎,也称为日照性皮炎、晒斑、日光 疹 等,是春夏期间 多发 的一种皮炎,与过敏性、神经性皮炎不同,日光皮炎主要由于紫外线照射,表皮毛细血管扩张引起皮肤炎症反应 , 表现为面 部 、额头等暴露皮肤, 皮肤 剧烈瘙痒 、 自觉烧灼感或刺痛感,常影....[详情点击]

皮炎是 较为常见和普 发 的皮肤疾病,是皮肤 由于 刺激、过敏、内分泌、 机体 免疫、环境、饮食等因素 引起 的皮肤炎性反应,伴发 红斑 、水肿、水疱、剧烈瘙痒、刺痛、灼烧等症状。 咨询医生,为什么得皮炎 近 9 0% 的市民分不清皮炎种类 太原肤康皮肤病医....[详情点击]

输入您的手机号,医生免费评估费用 手机号码 皮炎是我市的高发病,由于皮炎分为神经性、接触性(过敏性)、日光性、脂溢性等不同类型,同时也存在不同的发病程度,用药、治疗方案不同,治疗费用因个体差异会有一定的差异。 太原肤康中医皮肤病医院李正彬主任....[详情点击]

皮炎 是市民较为常见的皮肤疾病,红疹、红斑、 色素 沉着、剧烈瘙痒、刺痛、水疱 、 反反复作等,严重影响日常工作和生活 。皮炎 看似小 病 , 因 其发病机理 复杂 ,分型多, 需确诊 后分型治疗。 山西地区 是皮炎高发地区, 为 做好 山西地区 常见皮肤病防....[详情点击]

激素 依赖性皮炎全称为糖皮质激素依赖性皮炎,是由于激素的不当使用造成皮肤毛细血管扩张、 表皮 、真皮层 变....[详情点击]

过敏性 皮炎也称 为 接触性皮炎,是皮肤表皮接触尘螨、 花粉 、 碱性 物质等产生的皮肤炎症 及过敏 反应, 瘙痒 难耐, 患者出现 成片的红斑,密集或疏散的小丘疹,或是肉眼难见的小水疱,严重时大片渗液、糜烂 ,这些都是常见症状。 典型症状 :红斑、红肿....[详情点击]

患者情况:李先生,四川人,现28岁,从事销售工作,皮炎患者 患病原因: 工作压力大 ,长期过度劳累、情绪紧张、 睡眠不足 等因素引起。 症状表现:周身散发片状、肥厚、粗糙之皮损,奇痒,面部皮肤增厚,色素沉着,瘙痒难忍,精神不振,下腹部患处局部有轻....[详情点击]

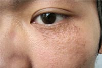
春暖花开,心旷神怡。在春光明媚的日子里,李小姐和男朋友一起去赏桃花。李小姐站在花丛前,摆着各种优美的姿势,男朋友为她拍照,二人在桃园里玩了一天。 晚上回到家里,李小姐发现自己的面部和眼部周围皮肤出现了一片片的红斑,上面好像还有细碎的糠状鳞屑....[详情点击]

【改善案例】 今年29岁的李兰,在一家外资企业上班,因为公司业务比较忙,不能按规定休产假,儿子小刚刚满月她就上班了,孩子只能交给外婆来带,外婆带孩子有经验又细心,小刚发育的很好。 可是五个月后,李兰发现,小刚越来越不好带了,起初是烦躁、哭闹,....[详情点击]

陈先生 42岁 江西 陈先生说:我两年前的一天不知道什么原因,脸部突然就很痒,我还以为是被蚊子咬了,就图点花露水,想着自己慢慢就不痒了,谁知没有效果还是很痒,实在没办法,我就去药店,医生说可能是局部过敏,拿点药抹抹就好了,我回家就抹了一下,结果....[详情点击]


太原肤康由肤康(中国)皮肤病专科连锁品牌建立,目前专注皮肤病领域临床治疗研究,主张中医为主 西医为辅,中西结合治皮肤!已成立以肤康医生带头、各级职称医师组成的肤康医生小组,希望通过扎实专业的实力为患者祛除病痛!